口腔全景片和CT(计算机断层扫描)是口腔医学中常用的影像学检查工具。它们都可以提供关于口腔和颌骨的详细信息,帮助牙医诊断和治疗口腔疾病。

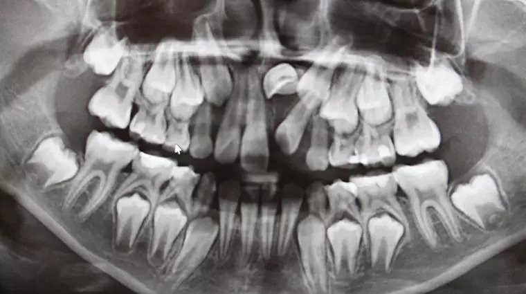
口腔全景片是一种全景式的X射线照片,能够显示口腔内的所有牙齿、上颌骨和下颌骨的情况。该检查非常适用于检测智齿、根管治疗、口腔肿瘤等病症。相比其他X射线照片,口腔全景片的拍摄时间很短,只需数秒钟即可完成,同时它还能够提供更广阔的观察范围,非常适合初步检查和快速诊断。

全景片
CT是一种通过多次X射线照片来生成三维影像的技术。它能够提供更为详细和准确的图像,显示牙齿和颌骨的各个方面,包括软组织和骨质。CT的使用范围更广,可以用于检查种植牙、口腔颌面部肿瘤、牙齿受伤等情况。

CBCT
两种检查方法的区别在于其图像的分辨率和范围。口腔全景片提供的是二维影像,所以它的分辨率不如CT高,而且只能提供一个全景视图。CT则提供更为详细的三维影像,它可以显示出更小的细节和更全面的结构。同时,CT的成本和辐射量也比口腔全景片高,因此使用时需要更为谨慎。
总的来说,对于常规检查和快速诊断,口腔全景片是一个非常有用的工具。而对于更复杂和详细的情况,CT则是更好的选择。具体选择哪种检查方式应该根据患者的病情和医生的建议来决定。