37岁的蒋先生早上起床后发现,左眼突然视物不见,眼前一片黑,急来深圳市第二人民医院眼科就诊,经过检查,接诊的窦晓燕主任团队判断患者是左眼视网膜中央动脉阻塞,其左眼视力无光感,若不及时治疗,可能导致视野缺失、视力下降、甚至失明,情况十分紧急!

窦晓燕主任马上给予吸氧、眼球按摩、降低眼压治疗,症状无明显改善,立即和我院神经外科伍健明团队联系,急转入神经外科救治,何毅主任医师查看病人后认为,患者左眼视网膜中央动脉阻塞虽然有约8个小时,仍然有溶栓适应症,无溶栓禁忌症,启动绿色通道,即刻行经导管颅内血管血栓去除术治疗。目前患者蒋先生视力恢复良好,正在行高压氧治疗。

视网膜中央动脉阻塞(CRAO)是一种急性缺血性中风,可导致严重的视力丧失,是进一步的脑血管和心血管事件的预兆。
CRAO是指通过视网膜中央动脉到达视网膜内层的血流减少。这可能导致视网膜梗死,当它发生时,这符合急性缺血性中风的诊断。此外,视网膜梗死可导致视网膜分支动脉阻塞,其中较小的视网膜节段可能涉及。眼动脉闭塞主要包括视网膜内外、视神经头、眼球和眼部组织的梗死(组织受累的程度取决于通过颈外动脉循环的侧支血流的程度)。

因视网膜中央动脉为终末动脉,其阻塞可引起视网膜急性缺血,视力严重下降,是导致失明的急症之一。与“脑中风”一样,多发于中老年人群,高血压、高血脂、糖尿病、动脉硬化等疾病是“眼中风”的常见诱发危险因素。
1.血管栓塞:有胆固醇栓子、血小板纤维蛋白栓子、钙化栓子等。
2.血管痉挛:见于早期高血压、血管无器质性改变但血管舒张功能不稳定的青年人。用眼过度、熬夜等也会造成不良影响。
3.血管壁的改变及血管外部受压:包括动脉硬化、血管炎症及眼压、眶压增高的疾病。
4.可为单因素致病,亦可为上述多因素综合致病。
常见单侧眼睛突然出现的急剧视力下降,视力仅为指数,甚至无光感,而且患者一般无痛感。有些患者发病前可能有一过性黑矇病史。少数患者有单眼一过性黑矇的先兆症状,数分钟后可恢复正常,这种症状可能反复发作,最终血管完全阻塞,导致视力永久性损伤。

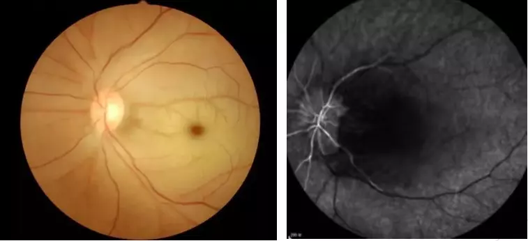
瞳孔检查中可以看到患者瞳孔散大;直接对光反射迟钝或消失;眼底检查视盘颜色变淡,动脉明显变细且管径不均匀,后极部视网膜灰白、水肿,黄斑相对呈红色,即“樱桃红斑”。
CRAO发病率在美国为1.9/10万人年,韩国为10 1.8 /10万人年,日本为2.5/10万人年。在80岁的患者中,发病率上升至10.1/100000人年。男性的发病率略高于女性。CRAO与同侧颈内动脉狭窄最密切相关。视网膜中央动脉的栓塞也可来自心脏(包括主动脉瓣和二尖瓣)、主动脉弓或大血管。患CRAO的风险也随着血管危险(肥胖、高血压、吸烟、高脂血症和糖尿病)而增加。
CRAO表现为突然的、无痛的、单眼视力和周边视力丧失。视力丧失的程度是可变的:在80%的患者中,初始视力是“数指”或更糟,但在纤毛视网膜动脉存在的情况下可以几乎正常。色觉受损与视力成正比。大多数患者有同侧相对传入瞳孔障碍。
(1)突然、无痛单眼视力丧失,多数患者伴同侧相对性传入性瞳孔障碍;
(2)眼底镜检查发现视网膜水肿、樱桃红色斑点、减弱的视网膜动脉中节段性血流缓慢、视神经盘无异常。成像方式如光学相干断层扫描、光学相干断层血管造影或荧光素血管造影均可支持CRAO诊 断。同时应注意筛 查有无视网膜动脉栓子和血管炎症。

(3)需进行眼科评估证实CRAO诊断,并排除其他可导致急性无痛性视力丧失的疾病,包括玻璃体和视网膜脉络膜出血、视网膜脱离和急性视神经病变。

分秒必争原则:CRAO是一种急症,有效治疗时间窗很短,因此需要及早识别和分类,疑似CRAO的患者应该分流到最近的眼科进行进一步的评估和治疗。
1.立即给予球后注射阿托品或山莨菪碱(654-2),舌下含服硝酸甘油或静脉滴入血管扩张剂。
2.降低眼压以提高眼内的灌注压,如按摩眼球或前房穿刺,也可口服乙酰唑胺。
3.在与患者及家属进行彻底的获益/风险讨论后,可酌情使用溶栓治疗,同时辅以营养神经等支持疗法,积极治疗原发病。
4.突发单眼无痛性视力急剧下降,应尽快赶到医院,以免错过最佳治疗时机。进行全面检查,如颈动脉彩超、心脏彩超、下肢动静脉彩超、头部MRI+MRA等,评估危险因素。平时应注意监测血压、血糖、血脂等,预防缺血事件的发生。
5.其他治疗:高压氧治疗

神经外科脑血管病区伍健明主任团队今年已完成近百台脑动脉的介入手术,自从眼科窦晓燕主任成立视光学视神经眼科以来,已经和伍健明主任团队合作挽救了视网膜中央动脉患者20余例。今后深圳市第二人民医院眼科团队和神经外科团队将继续深入合作,造福广大患者。
供稿:深圳市第二人民医院 眼科 彭细峰