小肠包括十二指肠、空肠与回肠,起自胃幽门,终于进入盲肠的回盲部。十二指肠形似C行,全长约25 cm,相当于本人十二根手指的指幅,因此而得名。成人绝对的空回肠长度约7 m,但在正常人体内由于肠管持续肌张力的存在,小肠长度明显缩短,测量时仅约3 m。空肠的起始标志为十二指肠悬韧带。空肠约占全小肠的40%,回肠占60%,二者间常无明显解剖学标志。

小肠分组

形态及功能
连续性排列;均匀、整齐;推进性蠕动;肠壁柔软、活动度好;7—9小时排空。
十二指肠 分四段
球部:三角形,穹窿对称、光滑、整齐、粘膜皱襞纵行、平行。
降部、水平部、升部:粘膜皱襞呈羽毛状,与空肠相似。



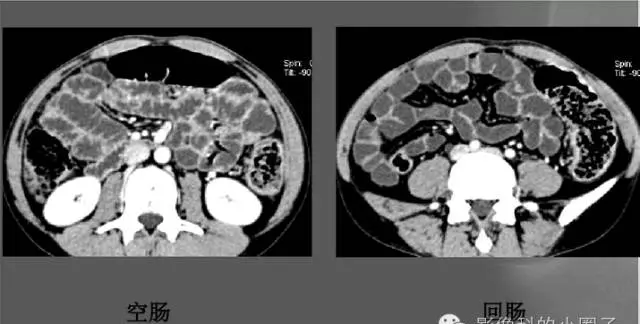
空肠
位于左中上腹、粘膜呈羽毛状、蠕动活跃,大多呈粘膜像。
回肠
位于右中下腹和盆腔。蠕动较弱,大多呈充盈像,表现为短管状,轮廓光滑,加压时可见纵行和斜行粘膜。


1.十二指肠
2.近段空肠
3.远段空肠
4.近段回肠
5.远段回肠
6.中段回肠
小肠造影


编者注:
消化道CT 检查如要获得高质量的图像,肠道准备非常重要。检查前服用1-2%泛影葡胺500 ml,只要病人能够耐受,服用的量越多,小肠充盈扩张的情况就越满意,越利于病变的发现和避免假象。病人取仰卧位,在扫描前10—20分钟时注射低张药物,CT 机的扫描时间应小于2秒钟,以减少肠道的蠕动伪影。病变部位明确者可只作局部扫描;如病变部位不明确,应做全腹扫描。
目前临床主要采用医用硫酸钡作为小肠造影对比剂, 但对于怀疑有肠梗阻,选用钡剂作为造影剂,会加重梗阻症状, 钡剂进入腹腔会加重腹膜炎,而且,钡剂不能被吸收,容易机化而引起粘连。而泛影葡胺作为对比剂时,本身较稀薄,在胃肠道内通过迅速,正常情况下,口服造影剂后1h左右达回盲部, 同时,泛影葡胺是一种高渗性有机碘苦味水溶液,其高渗性作用可将组织间及血管内的液体转移至肠腔,使肠内容物稀释,梗阻近端肠管扩张,同时刺激小肠蠕动。这样可使肠梗阻段的压力梯度增加, 稀释的肠内容物容易通过梗阻部位;还可减轻肠壁水肿,促进肠梗阻缓解。